Monday to Friday 8AM - 5PM
Every second Saturday by appointment only

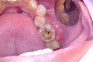
Half Broken Molar Tooth Repair

Half-Broken Molar Tooth Repair: What It Involves and What to Do Next

A molar does a lot of hard work. It absorbs heavy biting pressure every day, especially when chewing tough or crunchy foods. When half of a molar breaks, it can be painful, stressful, and confusing. You may wonder whether the tooth can be saved or if removal is the only option.

This guide explains half broken molar tooth repair in simple terms. We’ll cover why molars break, what treatment options are available, and what happens if the problem is left untreated. Understanding your options can help you protect your tooth and your long-term oral health.

 

Why Molars Are More Likely to Break

Molars have wide chewing surfaces and are exposed to strong forces. Over time, several factors can weaken a tooth and lead to a broken tooth or fractured tooth, including:

  • Tooth decay that weakens the inner structure
  • Old or large dental fillings
  • Teeth grinding, especially at night
  • Biting hard foods like hard candy or popcorn kernels
  • Cracks that slowly worsen over time

Even a small cracked tooth can progress into a major break if pressure continues. In many cases, the damage isn’t obvious until part of the tooth suddenly breaks away.

 

What Does “Half Broken Molar” Mean?

How To Remove Tooth Decay Yourself cracksA half-broken tooth usually means that a significant portion of the tooth has fractured, but part of the natural tooth is still present. This may involve:

  • Loss of one side of the molar.
  • A deep crack extending toward the gum line.
  • A large piece breaking off due to decay or pressure.

This is more serious than minor chips, but it does not always mean the tooth must be removed. The best repair depends on how much healthy tooth remains and whether the pulp is affected.

 

Common Symptoms You May Notice

When a molar breaks, symptoms can vary. Some people feel immediate pain, while others notice changes gradually. Common signs include:

  • Tooth hurts when chewing or biting.
  • Sensitivity to hot, cold, or sweet foods.
  • Sharp edges irritating the tongue or cheek.
  • Pain when biting hard foods.
  • Swelling or discomfort around the affected tooth.

If the break exposes inner layers or affects blood flow to the pulp, pain may become more intense.

 

How a Dentist Assesses a Half-Broken Molar

At the dental practice, the dentist will carry out a thorough examination. This may include:

  • Visual inspection of the break.
  • X-rays to assess tooth cracks and root health.
  • Checking the bite and surrounding teeth.
  • Assessing whether the pulp is affected.

Your dentist may also consider pre-existing medical issues that could influence healing or treatment planning.

 

 

Treatment Options for Half-Broken Molar Tooth Repair

There is no single solution that suits every case. The most appropriate treatment option depends on the severity of the damage and the condition of the tooth.

 

Dental Bonding for Small Breaks

If the damage is limited and the structure is mostly intact, dental bonding may be used to repair chipped areas. This involves applying a tooth-coloured resin or composite resin to rebuild the missing portion.

Bonding material is shaped and hardened to restore appearance and function. This option is usually best for minor chips or small fractures rather than large breaks.

 

Dental Fillings for Moderate Damage

When decay or fracture affects a larger area, dental fillings may be used to rebuild the tooth. Modern fillings are often made from composite resin, which blends with the natural tooth.

However, fillings alone may not be strong enough if half the tooth is missing, especially in molars that handle heavy chewing forces.

 

Dental Crown for Structural Support

A dental crown is one of the most common solutions for half-broken molars. Crowns cover the remaining tooth, restoring strength and protecting it from further damage.

Crowns may be made from ceramic, metal alloys, or combined materials, depending on location and biting forces. A crown helps preserve the remaining natural tooth and restore function.

 

Root Canal Treatment When the Pulp Is Affected

If the fracture reaches the pulp, root canal treatment or root canal therapy may be required. This removes infected or inflamed tissue and prevents infection from spreading.

After a root canal, the tooth is commonly restored with a crown to protect the weakened structure.

 

Tooth Extraction: When the Tooth Cannot Be Saved

In some cases, damage is too extensive. Severe decay, vertical fractures, or compromised roots may mean that tooth extraction is the safest option.

When extraction is needed, replacing the tooth helps prevent shifting and bite issues. Options may include a dental implant or other restorative solutions.

 

What Happens If You Delay Treatment?

What Can Cause Tooth Decay earlyDelaying care can lead to serious complications. A chipped or broken tooth that isn’t repaired may:

  • Develop an infection.
  • Worsen existing tooth damage.
  • Affect surrounding teeth.
  • Increase the chance of tooth loss.
  • Require more complex dental treatments later.

Prompt dental care often leads to simpler and more predictable outcomes.

 

Eating and Daily Care After a Molar Break

Until treatment is completed, protecting the tooth is important. Your dentist may suggest:

Good daily oral hygiene helps reduce bacterial buildup while waiting for repair.

 

Long-Term Care After Repair

Once treatment is complete, proper care helps extend the life of the repair. This includes:

  • Brushing twice daily with fluoride toothpaste
  • Flossing carefully around restored teeth
  • Attending regular dental visits and regular dental check-ups
  • Avoiding habits like chewing hard objects

For patients who grind their teeth, managing teeth grinding is essential to protect repaired teeth.

 

Protecting Your Teeth From Future Breaks

While accidents happen, some preventive steps reduce risk:

  • Avoid chewing hard candy or popcorn kernels.
  • Do not use teeth to open packaging.
  • Maintain consistent dental care.

Preventive care helps maintain overall oral health and reduces unexpected fractures.

 

How Dentists Decide the Best Repair

A dentist may consider several factors before recommending treatment:

  • Amount of healthy tooth remaining.
  • Location of the break.
  • Whether the tooth can be saved long-term.
  • Bite forces and chewing habits.

In some cases, a dentist may suggest monitoring minor damage before proceeding.

 

When to Seek Dental Care

how do you know if you need a root canal painYou should contact a dentist promptly if:

  • Half of a tooth breaks off.
  • Your tooth hurts when chewing.
  • Sensitivity worsens.
  • You notice swelling or sharp edges.

Early care helps prevent further damage and protects surrounding teeth.

 

How a Half-Broken Molar Can Affect Your Bite and Jaw

A half-broken molar can affect more than just the damaged tooth itself, even if the pain feels manageable at first. When part of a molar is missing, chewing pressure is no longer spread evenly across the tooth. Instead, force becomes concentrated on the remaining structure, which can lead to a range of functional issues over time.

This imbalance may result in:

  • Extra strain on the remaining tooth structure.
  • Jaw fatigue or tension, especially when chewing.
  • Discomfort on one side of the mouth.

Changes in bite pressure can also affect nearby teeth. Surrounding teeth may start to carry more load to compensate, which can:

  • Increase wear on otherwise healthy teeth.
  • Raise the risk of cracks or sensitivity.
  • Alter natural chewing patterns.

Many people also begin to avoid chewing on the damaged side without realising it. This can place uneven stress on the jaw joint and surrounding muscles.

In addition, a broken molar may create rough edges or small gaps where food debris becomes trapped more easily. Even with good oral hygiene, this can increase the risk of decay and gum irritation around the area. Repairing the tooth early helps restore bite balance, protect neighbouring teeth, and reduce unnecessary strain across the mouth.

Final Thoughts

Half-broken molar tooth repair depends on how much of the tooth remains and whether the inner structures are affected. Options range from bonding and fillings to crowns, root canal therapy, or extraction when necessary.

If you experience a cracked or chipped tooth or notice part of a molar has broken away, seeking advice from a dentist as soon as possible helps protect your tooth and supports long-term dental health.

If you’re dealing with a half-broken molar and want to understand whether it can be repaired or how to prevent further damage, you can book a consultation with us at Definitive Dental or call (02) 6105 9833.

Note: Any surgical or invasive procedure carries risks. Before proceeding, you should seek a second opinion from an appropriately qualified health practitioner.

Resources

Racelis, A. (2025).
‘What Is Dental Bonding and How Does It Work?’. WebMD, medically reviewed 18 June.
New York, NY: WebMD LLC.
https://www.webmd.com/oral-health/dental-bonding

Colgate Editorial Team (2023).
‘What Is Good Oral Hygiene?’. Colgate, 9 January.
New York, NY: Colgate-Palmolive Company.
https://www.colgate.com/en-us/oral-health/adult-oral-care/what-is-good-oral-hygiene

Mayo Clinic Staff (2024).
‘Teeth Grinding (Bruxism)’. Mayo Clinic, 27 December.
Rochester, MN: Mayo Foundation for Medical Education and Research.
https://www.mayoclinic.org/diseases-conditions/bruxism/symptoms-causes/syc-20356095

Kubala, J.; medically reviewed by Warwick, K. W. (2023). ‘Soft Food Diet: Foods to Eat and Foods to Avoid’. Healthline, 15 March. San Francisco, CA: Healthline Media.

https://www.healthline.com/nutrition/soft-food-diet