Monday to Friday 8AM - 5PM
Every second Saturday by appointment only

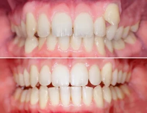
My Teeth Aren't Perfect After Invisalign

My Teeth Aren’t Perfect After Invisalign: Why It Happens and What You Can Do About It

Many people start aligner treatment with one main goal in mind: straighter teeth and a more confident smile. For most patients, Invisalign treatment delivers excellent results with noticeably improved teeth alignment and a healthier bite. But it’s also common for some individuals to look in the mirror at the end and think that their teeth aren’t perfect after Invisalign.

If you’re feeling this way, know that you’re not alone. Many patients have similar thoughts post-treatment.

Below, we’ll walk through the most common reasons teeth aren’t perfectly aligned after aligners, what’s considered a normal part of treatment, and the practical steps that help teeth stay beautifully aligned long term.

 

 

Why Some Teeth Aren’t “Perfect” After Treatment

Even when someone follows their treatment plan carefully, minor variations can still appear by the time treatment ends. Clear aligners guide tooth movement using gentle pressure, but every mouth responds differently. Some teeth track slowly. Some require refinement. Some bites need additional rounds of aligners to reach proper alignment.

Many patients expect Invisalign aligners to create a perfectly straight, perfectly aligned, flawless result. But all orthodontic options, aligners, traditional braces, or even traditional metal braces, have limitations based on biology, bone density, roots, gum issues, tooth shape, or how consistently the aligners were worn.

Here are the most common reasons:

Inconsistent wear

Aligners must be worn 20–22 hours a day to guide tooth movement properly.

If inconsistent wear happened at any stage, slow progress or slight misalignment at the end can be a normal part of the outcome. Forgetting aligners, wearing them for fewer hours a day, or removing them for long meals can make some teeth lag behind.

Bite challenges

Sometimes teeth appear straight visually, but bite issues remain. Small bite discrepancies can persist because certain movements take longer, and achieving a stable bite is often more complex than simply straightening teeth.

Tooth shape and position

Short roots, stubborn rotations, or naturally uneven edges can create the appearance that alignment isn’t perfect, even when tooth movement was successful.

Gum issues

Swelling, recession, or inflammation can change how straight teeth look. Gum health affects both the stability of aligned teeth and the appearance of the smile.

Lifestyle habits

Night teeth grinding, mouth breathing, late-night snacking without brushing, or inconsistent flossing can affect alignment, bite, enamel and overall oral health.

Refinement Aligners and Why They Matter

Refinement aligners, also called additional aligners or refinement trays, are among the most common next steps after Invisalign. In fact, most patients need at least one refinement stage after the main treatment ends.

Refinements allow your dentist to:

  • Fine-tune rotations
  • Close small spaces
  • Increase proper alignment
  • Correct bite issues
  • Adjust midlines
  • Improve tooth position

They are often needed because clear aligners move teeth in small increments. Some movements are harder to achieve, so refinement aligners give the dentist and patient more opportunities to get closer to a perfectly aligned smile.

Needing refinement trays is not a failure. It’s a normal part of the Invisalign journey. Even other teeth that were not originally the main focus may need attention later as the bite settles.

Retainers: The Silent Hero of Long-Term Results

patient about to a dental retainerOnce treatment ends, wearing your retainer is essential to prevent shifting. Tooth movement never completely stops, which is why a retainer helps keep teeth in place. Retainers may be clear plastic or fixed-wire designs, and your dentist will recommend the most suitable option based on your case.

Whether your retainer is fixed or removable, wearing it as instructed matters significantly. If you’ve noticed teeth shifting post-Invisalign, it can mean the retainer schedule needs updating or wearing habits need tightening.

Many patients underestimate how quickly teeth can shift. Tooth movement can happen within days if retainers are not worn. Wearing the retainer becomes part of maintaining the aligned teeth you worked so hard to achieve.

If you want straight teeth long term, wearing your retainer, practising good oral hygiene, and attending regular check-ups are critical.

When Small Imperfections Are Actually Normal Results

Sometimes, the teeth are well aligned, but very small variations make them look slightly imperfect.

Examples include:

  • Natural gum scalloping
  • Uneven edges from enamel wear
  • Minor rotations that do not affect the bite
  • Subtle asymmetries common in most patients

Dentists rarely aim for “perfectly straight” in a technical sense, because biology has limits. Most aim for functional, safe, healthy alignment, a comfortable bite, and a beautiful smile that fits your facial proportions.

Even though Invisalign works differently from traditional metal braces, it can correct most alignment, crowding, and bite problems. However, like any orthodontic approach, it still works within realistic boundaries.

If your results are close, safe, and functional, small adjustments may simply be optional based on personal preference.

When Additional Rounds of Aligners May Be Needed

Some cases require additional rounds of aligners to achieve the desired results. If your dentist sees potential for further refinement, they may recommend another series.

invisalign set on a kitThis can happen if:

  • Slow progress occurred
  • Certain teeth resisted movement
  • Bite adjustments were not fully complete
  • Patients wore aligners for fewer hours a day

If extra movement is needed, additional aligners are often more cost-effective than starting over with traditional braces.

Your dentist will assess whether refinement aligners are beneficial and whether the goals are realistic.

Bite Assessment: More Than Just Straightening Teeth

Straightening teeth is only part of the story. Proper alignment and bite harmony are key to long-term oral health. Even properly aligned teeth may not meet evenly with opposing teeth, and this can contribute to premature wear or discomfort.

If bite issues remain post Invisalign, your dentist may check:

  • How your back teeth meet
  • Whether the front teeth touch too early
  • Signs of clenching
  • Enamel wear
  • The need for small adjustments

A few extra aligners, reshaping specific tooth edges, or mild bite balancing often greatly improve comfort.

Regular Dental Check Ups for Post-Treatment Care

Even after aligner therapy ends, regular dental check-ups make a huge difference. They give your dentist the chance to:

  • Check retainers
  • Evaluate tooth positions
  • Detect early bite concerns
  • Ensure gums remain healthy
  • Confirm that teeth stay stable

Ongoing supervision helps maintain proper alignment. Dentists can address issues while they are still small, long before they require major changes.

Traditional Braces vs Invisalign: A Quick Comparison

Many people wonder if perfect alignment is more likely with traditional braces. In truth, both systems move teeth successfully. Invisalign aligners are designed to deliver predictable, safe orthodontic changes. In many cases, Invisalign can achieve the same outcomes as traditional braces.

The difference is that braces stay on 24 hours a day automatically, while Invisalign requires commitment to wearing the aligners. Unlike traditional metal braces, clear aligners are removable, invisible, and more comfortable, yet they rely on trust, discipline, and consistency.

Most patients achieve excellent Invisalign results when they follow instructions. Sometimes small refinements are needed, just like with braces.

Proper Care Protects Your New Smile

Proper care after treatment supports long-term success. Steps like wearing your retainer and maintaining good oral hygiene contribute to a straighter, healthier smile over time.

Small habits count:

  • Brush twice daily
  • Floss once daily
  • Clean retainers
  • Limit frequent snacking
  • Keep up with dental check-ups
  • Address gum issues early

All these help prevent shifting, protect oral health, and support aligned teeth.

When to Talk to Your Dentist

before and after effects of orthodontic procedureIf you feel your teeth aren’t perfectly aligned post-treatment, the first step is to have a professional assessment. Your dentist can:

  • Check for tracking concerns
  • Review bite alignment
  • Evaluate gum health
  • Plan minor contouring or bonding
  • Suggest small adjustments
  • Recommend refinement aligners
  • Discuss retention schedules

They will help you understand whether the current result is healthy and stable or whether small refinements will help you reach your desired result.

Final Thoughts

Invisalign treatment is a journey, not a single moment. Treatment ends when the main aligners finish, yet refinement aligners, updated retainers, regular dental check-ups, and proper care can help fine-tune the final result. With consistent wear and good oral hygiene, most patients achieve aligned teeth and a comfortable, natural-looking smile.

If you’re wondering whether further improvements are possible, speak to your dentist. Refinement trays, additional aligners, or retainer adjustments may help your teeth stay straight long term and get your smile closer to the perfect smile you pictured at the start. With the right support, a balanced bite, healthy teeth, and a smile you feel confident about can be maintained long term.

If you’re concerned about your alignment results after treatment or would like guidance on fine-tuning your smile comfort, you can book a consultation with us at Definitive Dental or call (02) 6105 9833.

Resources

“Morgan, K. K. (2025). ‘Tooth Enamel Erosion and Restoration’. WebMD, October 07. New York, NY: WebMD LLC. https://www.webmd.com/oral-health/tooth-enamel-erosion-restoration”

“Mayo Clinic Staff (2024). ‘Teeth Grinding (Bruxism)’. Mayo Clinic, 27 December. Rochester, MN: Mayo Foundation for Medical Education and Research. https://www.mayoclinic.org/diseases-conditions/bruxism/symptoms-causes/syc-20356095″

“Colgate Editorial Team (2023). ‘What Is Good Oral Hygiene?’. Colgate, 9 January. New York, NY: Colgate-Palmolive Company. https://www.colgate.com/en-us/oral-health/adult-oral-care/what-is-good-oral-hygiene”